
Summarized by Dr. Tim Johnson
The University of Minnesota has recently published an article in mBio that is the culmination of a 6-year collaborative effort to identify and develop custom, tailored probiotics for commercial turkeys. The project was led by Dr. Tim Johnson, but was truly a collaborative effort involving other UMN researchers from the Colleges of Veterinary Medicine (Drs. Carol Cardona and Kent Reed), Food, Agricultural and Natural Resource Sciences (Dr. Sally Noll), and Biological Sciences (Drs. Dan Knights and Tonya Ward). This project started when Johnson and Noll profiled bacterial populations of high-performing turkeys, and identified several species of bacteria that were strongly correlated with turkey performance. From that work, Johnson’s lab cultured more than 1,000 strains of these target bacteria. They then used a top-down approach that involved whole genome sequencing and live bird experiments to find strains with the greatest potential as probiotics in turkeys, capable of positively manipulating the microbiome. Johnson and colleagues then compared their 4-strain turkey-tailored probiotic blend with another commonly used poultry probiotic and low doses of an antibiotic, bacitracin methylene disalicylate (BMD).
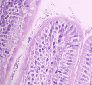
![]() |
|
Probiotic bacteria colonizing the ileum of a 6-day-old
turkey in Johnson’s study.
|
The team found, as they suspected, the turkey-tailored probiotic was able to positively impact gut bacterial populations (the microbiome) of turkeys and was able to enhance average daily weight gain. They first did this with short-term caged bird trials, then confirmed their results with longer-term pen trials. What surprised the group were the striking similarities observed in effects of the turkey-tailored probiotic and BMD. They found that the turkey-tailored probiotic shifted bacterial populations in the ileum manner similar to BMD. They also looked at fungal populations in the turkey gut (yes, turkeys contain fungi) and found the same similar shifts. Then, they looked at turkey host response at the gut level using gene expression and phosphorylation, and found that the turkey-tailored probiotic mimicked effects of BMD on the host at the gut level. These effects centered around energy use, immune system development, and response to invading pathogens. Finally, Johnson and colleagues found that combining the turkey-tailored probiotic with prebiotics further enhanced positive effects on turkey growth and performance.
The importance of this work is that it demonstrates that custom-designed probiotics have the potential to revolutionize the way we approach “alternatives to antibiotics.” Dr. Johnson says to “think carefully about the scientific evidence supporting the use of a specific product.” Customized probiotics are coming in the near future, but for now product choices are still best achieved through trial and error.








